+91 9823192716

Emergency Contact

Sharda Dental & Homoeopathy Centre

Is a modern hi-tech, multispeciality dental & homoeopathy centre in ichalkaranji, Kolhapur Dist. Headed by Dr. Amol Daribe (B.D.S.) & Dr. Namrata Amol Daribe(B.H.M.S., C.G.O., C.S.D.). We have a team of super specialist dedicated towards delivering all dental treatments & general health treatment under one roof. Our hospital is estabilished in the year - 2006 equipped with advanced infrastructure to provide specialised oral health care led by highly qualified & professional doctors. We believe in speciality dental care & our clinic is equipped with all the latest technologies & follows strict sterilization protocols. The experience, patience, no compromise in quality of the treatment, Ability to take risks are the key factors to be proud of.



Homoeopathy


Now, Homoeopathy is rapidly growing line of treatment & is being practiced almost all over the world. In India it has become a housebold name to the safty of its pills gentleness of its care. Homoeopathic medicine plays a very important role in providing health care to a large number of people. It's strength lies in its evident effectiveness as it takes a holistic approch towards the sick individual through promotion of inner balance, at mental, emotional, spiritual & physical levels. Homoeopathic remedies are all natural, they have no harmful side effects. "Homoeopathy is supposed to work miracles" - Sardar Vallabhbhai Patel.

80000+

HAPPY PATIENTS

125+

IMPLANTS

15+

YEARS OF EXPERIENCE

Our Team

Caring for you and your smile.

Dr. Shantiprasad Chakote

( MDS, Oral Maxillo Facial Surgeon)

Dr. Pranav Patil

( MDS, Conservative Dentistry , RCT Specialist)

Dr. Abhijeet Shete

( MDS, Periodontology)

With access to

24 Hour

Emergency

Assistance








We Provide



Root Canal Treatment

Single visit root canal treatment as per indication, With the use of :-
1) X-Smart Endomotor Dentsply
2) Apex Locator by J. Morita
3) Endoactivator - Dentsply
4) Admetec loops for magnification
Root Canal Treatment is designed to eliminate bacteria from the infected root canal.




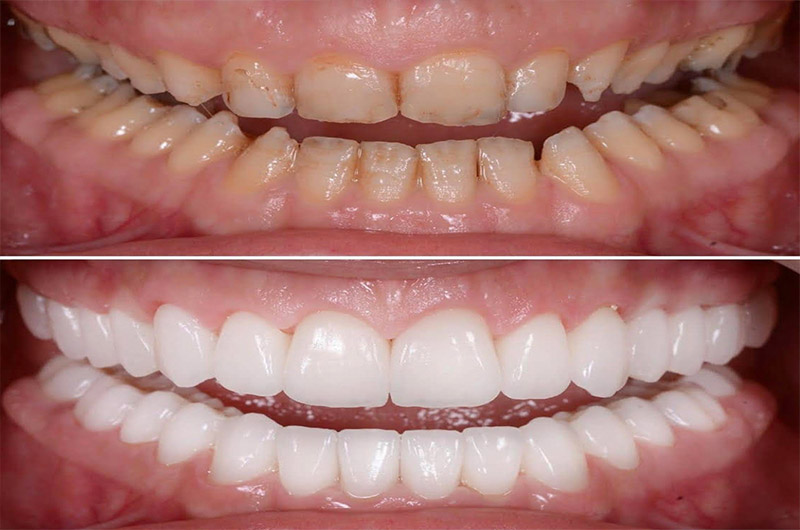
Smile
Makeover

A smile makeover is the process of improving the appearance of the smile through one or more cosmetic dentistry procedures, such as: Dental veneers. Composite bonding. Tooth implants. Teeth whitening.




Teeth
Filling

A teeth filling is one of the most common dental procedures. It’s basically a repair job to fix the damage done by tooth decay. It’s typically a painless procedure and generally takes about an hour.




Crown & Bridge Work

Crowns and bridges are a fixed solution to missing or damaged teeth. This restorative procedure uses prosthetic devices to return your smile to its natural state. A crown is used when the tooth structure is damaged or fractured.




Dental Braces

Dental braces are wire-based appliances that orthodontists use to correct crowded and malaligned teeth or jaws. Many people who need dental braces get them during their early teenage years, but adults also can benefit from wearing braces. Types - stainless steel brackets, ceramic brackets, self ligating brackets, aligners and other methods also.




Tooth Extraction

An extraction means to have a tooth removed, usually because of disease, trauma or crowding. If you need an extraction, your dentist will first numb the area to lessen any discomfort.




Dental Implants

A Dental Implant is a fixture which is placed surgically into the bone of the jaw or skull to support a crown, bridge or denture. The most commonly used material in an implant is titanium which is most bio-compatible.




Teeth Cleaning

Teeth cleaning is performed at a dental office to remove plaque and tartar from the teeth. Plaque is a sticky film containing bacteria that forms on the tooth surface. Tartar is mineralized plaque that is hardened and difficult to remove with a toothbrush.




Full Mouth Rehabilitation

Full-mouth rehabilitation of the worn dentition presents the clinician with many challenges and potential pitfalls. A systematic approach to diagnosis, treatment planning, and risk management is crucial for a predictable outcome.




Dentures

All other dental work also......


HOMOEOPATHY



Cold

Common cold or cold is one of the most common conditions affecting several individuals and is responsible for absenteeism at work and school. The common cold is caused by a viral infection and may be triggered or aggravated by certain allergens and environmental factors.




Cough
(Chronic Acute)

A cough that comes on suddenly, often with the feeling of a speck or tickle in the throat, is a strong indication for this remedy. The cough is intense and nagging and the person may feel as if the head is about to burst.




Asthma

Asthma is an inflammatory disease of the airways to the lungs. It makes breathing difficult and can make some physical activities challenging or even impossible. To understand asthma, it’s necessary to understand a little about what happens when you breathe.




Skin Diseases

Skin diseases are conditions that affect your skin. These diseases may cause rashes, inflammation, itchiness or other skin changes. Some skin conditions may be genetic, while lifestyle factors may cause others.




Arthritis

Arthritis is inflammation of one or more joints in the body. The two most common types are osteoarthritis (also known as degenerative joint disease) and rheumatoid arthritis (RA). Osteoarthritis may occur with aging, or following trauma or another injury to a joint.




Mental Health Conditions

A mental illness is a condition that affects a person's thinking, feeling, behavior or mood. These conditions deeply impact day-to-day living and may also affect the ability to relate to others.




Renal Stone & Other Issues

A kidney stone is a solid, pebble-like piece of material that can form in one or both of your kidneys when high levels of certain minerals are in your urine.


Patient's Feedback

Dr. Daribe does a great job. My treatment was very good. I liked his treatment. Their hand is very light. They treat the patient very well. Their sisters are very good and they treat all people well. They call in time by appointment, they do not take much time, so it is important that the patient's time is saved. My best wishes to the hospital and all team .

Savita Siddappa Pujari Ichalkaranji

Treatment given by doctor was good and satisfied. He gave each and every information in detail befor treatment and explains each level very carefully. He handles it very carefully.

Shivani Ashok Kawade Ichalkaranji

Dr. Daribe that's how I was introduced to . My wife's dental disease, Pyorrhea , was treated by a doctor. His treatment is very good. The doctor has a very loving nature. I wanted to fit my daddy's cap. The doctor explained all this to me in a good way from time to time. I did not have any problem with this treatment. Thank you doctor for treating me as per my liking.

Rahul dinkar pandharpatte Ichalkaranji

Dr. Daribe reduced the fear in my mind. So I feel relaxed. Also the treatment is very good. I haven't got any problem everything goes smoothly. The sisters are also very good. Congratulations to the doctor and his team.

Nilima Vikas Baikar Dapoli